Учёные смогли "разубедить" превращаться в рак клетки поджелудочной железы

Для подтверждения своего открытия учёные создали ГМ-мышей.

28 Августа 2019, 02:31
АВТОР
Подпишитесь на наш
Telegram-канал
и узнавайте новости первыми!
 иллюстративное 28 Августа 2019, 02:31
28 Августа 2019, 02:31
2897
Фото: иллюстративное

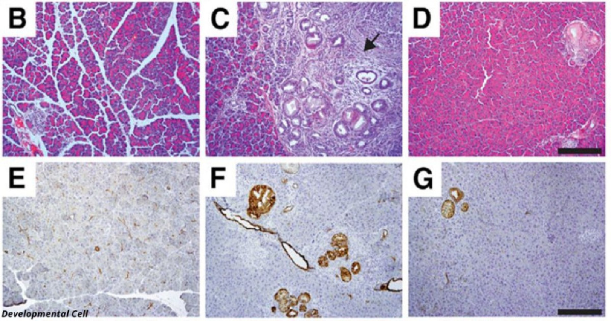
Американским учёным удалось остановить развитие рака поджелудочной железы. Для этого они активировали ген PTF1A, и клетки перестали превращаться в раковые. Результаты исследования опубликованы в журнале Developmental Cell.

Оказалось, что даже если клетка уже начала становиться раковой, этот процесс можно остановить. Когда учёные заставили работать ген PTF1A, клетка осталась здоровой.

Обычно при перерождении в рак клетки теряют свойства, характерные для того органа и вида клеток, к которому они принадлежат. Мутации приводят к тому, что единственное свойство, которое сохраняется, — это способность к делению.

PTF1A — это "ген-надсмотрщик", который отвечает за работу поджелудочной железы. В тканях раковой опухоли он всегда выключен.

Исследователи из Университета Юты смогли показать, что работа этого гена может остановить онкогенные мутации и клетки продолжают выполнять работу, на которую они рассчитаны.

Для подтверждения своего открытия учёные создали ГМ-мышей, в организмы которых встроили мутантный ген KRAS и тот самый PTF1A. Затем ген включали с помощью веществ-активаторов.

Выяснилось, что если разбудить оба гена, но при этом поддерживать PTF1A в активном состоянии, то клетка не станет раковой. Чтобы усугубить ситуацию, мышам привили панкреатит (он осложняет течение рака), но и тогда включение гена сработало.

Сейчас рак поджелудочной железы лечится только хирургической операцией и химиотерапией. Авторы статьи считают, что их метод может помочь возвращать переродившиеся клетки в нормальное состояние.

Наверх